The Mack Cosmetic Center

Facial Cosmetic Surgery Tampa, Eyelid Surgery South Tampa, Oculoplastic Procedures Florida

Social

Phone

Tampa, FL 813.875.5437

Address

3109 W. Azeele Street Tampa, FL 33609
Request an Appointment
  • Home
  • About Us
    • Overview
    • Our Doctors
    • Our Team
  • Surgical
    • Blepharoplasty
    • Dermatochalasis & Ptosis
    • Earlobe Repair
    • Ectropion
    • Endoscopic Brow Lift
    • Entropion
    • Facelift
    • Facial & Eyelid Skin Cancer
    • Lid Lacerations & Trauma
    • Lower Lid Blepharoplasty
    • Tearing Problem
    • Upper Lid Blepharoplasty
  • Cosmetic
    • Botox Cosmetic
    • Dysport
    • JUVÉDERM
    • Laser
    • Restylane
    • Sculptra Aesthetic
    • Voluma XC
  • Skin Care
    • Procedures
      • Clinical Skin Care
      • HydraFacial
      • Microneedling
      • Rejuvenating Skin Care
      • Facial Peels
      • Nano Infusion Therapy
      • Light Therapy
    • Product Lines
      • LATISSE
      • Revisions Skincare
      • SkinMedica
      • Skinceuticals
      • SkinBetter
  • Gallery
  • Media
  • New Patients
    • New Patient Forms
    • New Patient Information
    • FAQs
  • Reviews
  • Specials
  • Blog
  • Contact Us

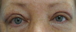
1076-2of4-a

Restore Your Beauty Today

  • This field is for validation purposes and should be left unchanged.
Tweets by WilliamPMackMD

The Mack Cosmetic Center
3109 W. Azeele Street
Tampa FL 33609
Phone: 813-875-5437

Location

Follow Us


William P. Mack, M.D.

Recent Posts

  • November 2025 Specials
  • What You Should Know Before Getting a Facelift
  • How Subtle Botox Can Enhance Your Look Without Freezing Your Natural Beauty
  • How Often Should You Get Microneedling? Understanding the Ideal Treatment Frequency
Site Map | Privacy Policy | Terms of Use | The Mack Cosmetic Center